• »
  • »

Ошибки при лечении зубов: почему пломбы и штифты разрушают зубы

Когда лечение зубов приносит больше вреда, чем пользы.
Помню, как ко мне на прием пришла женщина лет сорока с жалобой на боль в жевательном зубе. Сделали снимок - и я офигел (хотя нет, не так... я был крайне удивлён!!). На одном зубе семь слоёв пломбировочного материала! Как матрёшка, только вместо деревянных куколок - композит разных поколений. Каждый стоматолог просто накладывал свою пломбу поверх старой, не удосуживаясь разобраться в причине проблемы. Результат? Зуб раскололся под этой "пирамидой", и мы его потеряли.
Вот это и есть настоящее кладбище пломб. Когда лечение превращается в бесконечный цикл "залатать-переделать-снова залатать", пока зуб окончательно не сдастся. По статистике (и я это вижу в своей практике каждую неделю), около 30% удалений зубов происходит не из-за запущенного кариеса или пародонтита, а из-за осложнений предыдущего лечения. Ятрогения - так это называется в медицине, когда вред наносит само врачебное вмешательство.
В этой статье мы разберём, почему современная стоматология иногда работает против пациента. Почему пломба может убить зуб быстрее, чем кариес. И главное - как этого избежать. Потому что не всякое вмешательство равно помощи, друзья мои.

Пломбы: когда благо превращается в проблему 🦷

Виды пломб и их "тёмная сторона"

Давайте сразу проясним: пломба - это не вечный материал. Это заплатка, которая работает ровно столько, сколько выдерживает нагрузку и сохраняет герметичность. А материалов для этих заплаток существует несколько, и у каждого свои скелеты в шкафу.
Амальгама - это смесь ртути с серебром, оловом и медью. Да-да, ртуть! Та самая, из разбитых градусников. В СССР и на Западе до 2000-х это был золотой стандарт. Прочная, дешёвая, служит по 20-30 лет. Но есть нюанс: ртуть постепенно испаряется. Насколько это опасно? Ведутся споры до сих пор. ВОЗ говорит, что концентрация мизерная и не вредит. Но Европа с 2018 года запретила амальгаму для детей и беременных. Я лично не ставлю амальгаму уже лет пятнадцать - не потому что она убьёт вас завтра, а потому что зачем рисковать, когда есть альтернативы?
Химический композит - это пластмасса, которая твердеет сама по себе при смешивании двух компонентов. Старая школа. Главный минус - сильная усадка при застывании (до 5%). Материал буквально "сжимается", отрываясь от стенок зуба. Образуется щель, туда затекает слюна, бактерии - и привет, вторичный кариес под пломбой! Плюс химика - она застывает даже во влажной среде, поэтому иногда её используют как временную пломбу или в труднодоступных местах. Но как основной материал? Уже нет.
Световой композит - это современный стандарт. Фотополимер, который твердеет только под ультрафиолетовой лампой. Врач контролирует процесс, наносит материал слоями, каждый слой засвечивает отдельно. Усадка меньше (около 2%), эстетика отличная, цвет подбирается под эмаль. Срок службы - 5-7 лет при правильной установке. Но! Если технология нарушена (недосветили, попала влага, плохо протравили эмаль) - пломба отвалится через год. Или того хуже - останется на месте, но под ней разовьётся кариес.
Керамика - это уже не пломба в классическом смысле, а вкладка или накладка. Изготавливается в лаборатории по слепку вашего зуба. Прочность как у эмали, усадка практически нулевая, служит 15-20 лет. Но стоит в 3-4 раза дороже обычной пломбы. О ней поговорим отдельно чуть позже.
Вот вам табличка для наглядности:
Материал
Срок службы
Усадка
Эстетика
Цена
Амальгама
20-30 лет
Минимальная
Плохая (серый цвет)
Низкая
Химический композит
3-5 лет
5% (высокая)
Средняя
Низкая
Световой композит
5-7 лет
2%
Отличная
Средняя
Керамическая вкладка
15-20 лет
0,1%
Идеальная
Высокая
Так световая или химическая пломба - что выбрать? Если нет экзотических условий (например, невозможно изолировать зуб от слюны), всегда выбирайте световую. Она предсказуемее, эстетичнее и долговечнее. Химика осталась только для временных решений и специфических ситуаций, как говорил мой завкаф - "для партизанских условий".

Ошибки при лечении кариеса: как одна пломба превращается в пять

Теперь о грустном. Даже самый лучший материал не спасёт, если врач накосячил на этапе препарирования. А косячат, поверьте, часто. Разберём топ ошибок, которые я вижу при перелечивании.
Недопрепарирование - это когда врач не убрал весь кариес. Оставил немного размягчённого дентина (это ткань под эмалью), понадеялся, что "ну там совсем чуть-чуть, само остановится". Не остановится!! Кариес - это бактериальная инфекция. Если её не убрать полностью, она продолжит разрушать зуб под пломбой. Пациент выходит от врача с красивой белой пломбой, а через полгода-год зуб начинает ныть. Снимаем пломбу - а там чернота, полость в два раза больше изначальной. Приходится удалять нерв, ставить коронку. Хотя можно было просто нормально вычистить в первый раз!
Перепрепарирование - обратная проблема. Врач по старинке "зачищает с запасом", выпиливает бормашиной не только кариес, но и здоровые ткани. Логика такая: чем больше уберу, тем точно не останется заразы. Но зуб теряет прочность! Эмаль и дентин работают как единая конструкция. Убрал слишком много - зуб становится хрупким, может расколоться от обычной жевательной нагрузки. Плюс, чем ближе к нерву сверлишь, тем выше риск пульпита (воспаления нерва). А это уже лечение каналов, штифты, коронки - дорого и муторно.
Нарушение протокола адгезии - самая частая ошибка, на мой взгляд. Световой композит держится на зубе не механически (как амальгама), а химически. Его "приклеивают" специальным бондом - адгезивом. Но для этого нужно:
  1. Протравить эмаль кислотой (чтобы она стала шероховатой)
  2. Промыть и высушить
  3. Нанести адгезив
  4. Засветить лампой
Если на любом из этих этапов попала слюна или кровь - адгезия нарушена. Пломба формально стоит, но держится плохо. Через пару лет отвалится или начнёт пропускать под себя бактерии. Вот почему важна изоляция коффердамом - это такой резиновый платок, который надевают на зуб, чтобы полностью отсечь его от слюны. Я без коффердама не ставлю световые пломбы вообще. Но многие врачи игнорируют его - мол, долго, неудобно. Итог - переделка через три года.
Почему болит зуб под пломбой сразу после лечения? Вариантов несколько:
  • Слишком глубокая полость, близко к нерву - зуб реагирует на температуру, давление. Обычно проходит за 1-2 недели.
  • Врач перегрел зуб бормашиной (плохое охлаждение водой) - нерв получил ожог. Может аукнуться пульпитом через месяц.
  • Завышенная пломба - вы смыкаете зубы, и пломба бьётся первой. Перегрузка на зуб, боль при жевании. Лечится просто - нужно пришлифовать.
  • Под пломбой остался кариес (привет, недопрепарирование).
Если боль не проходит за две недели или усиливается - срочно к врачу. Не ждите, пока зуб окончательно загнётся!
Клинический случай из практики:
Женщина, 35 лет, пришла с жалобой на ноющую боль в верхнем жевательном зубе. Говорит: "Год назад лечила обычный кариес в другой клинике, всё было нормально. А теперь вот болит". Делаю снимок - картина маслом. Под год назад поставленной пломбой чёрная дыра размером с горошину. Кариес продолжал жрать зуб под "новой" пломбой! Видимо, врач не убрал инфицированные ткани до конца или вообще пропустил участок.
Что делать? Снимаем пломбу, вычищаем весь кариес (а его уже прилично), обрабатываем антисептиками. Полость получилась огромная - процентов 40 коронки зуба потеряли. Световой пломбой тут уже не обойдёшься - такой объём материал не выдержит, даст усадку и трещины. Пришлось делать керамическую вкладку - снимаем слепок, зубной техник отливает вкладку в лаборатории, потом я её цементирую в зуб. Дороже раза в четыре, чем изначальная пломба. И зуб теперь ослаблен навсегда.
Если бы год назад врач просто сделал работу качественно - убрал кариес полностью, изолировал зуб от слюны, соблюдал протокол - зуб бы остался целым. А так... Обидно.

Керамические вкладки: когда пломба уже не спасёт

Давайте честно: большие пломбы - это компромисс. Когда от зуба осталось меньше половины коронковой части, пломба работает на пределе. Световой композит, как ни крути, даёт усадку. Пусть всего 2%, но на большом объёме это ощутимо. Материал "стягивает" стенки зуба внутрь, создаёт напряжение. Плюс жевательная нагрузка - до 100 килограммов на квадратный сантиметр! Пломба начинает крошиться по краям, отслаиваться, трескаться. Срок службы большой световой пломбы - 3-5 лет максимум. А потом опять высверливать, терять ещё часть зуба, ставить ещё бОльшую пломбу... И так до момента, когда зуб расколется и придётся ставить имплант.
Вот тут на сцену выходит керамическая вкладка (или inlay, если хотите по-умному). Это не пломба, которую врач лепит во рту прямо на месте. Это микропротез, который изготавливают в зуботехнической лаборатории персонально под ваш зуб. Процесс такой:
  1. Врач препарирует полость (убирает кариес)
  2. Снимает слепок или делает цифровое сканирование
  3. Ставит временную пломбу
  4. Техник отливает вкладку из керамики (обычно E.max - это прессованная стеклокерамика)
  5. Через 5-7 дней вы приходите, врач примеряет вкладку, подгоняет и фиксирует её на специальный цемент
Получается практически монолитная конструкция. Керамика по прочности и твёрдости близка к родной эмали. Усадка при изготовлении - всего 0,1%, то есть практически ноль. Края вкладки идеально прилегают к зубу (точность до микрон), так что бактериям туда не пролезть. Эстетика - вообще огонь, керамика полупрозрачная, неотличима от настоящего зуба. Срок службы - 15-20 лет при нормальной гигиене. Да, это дорого. Вкладка стоит как 3-4 световые пломбы. Но если считать в долгосрочной перспективе?
Представьте: вы ставите большую пломбу за 5 тысяч рублей. Через 3 года она начинает крошиться, вы её меняете - ещё 5 тысяч. Плюс каждый раз врач убирает часть зуба под новую пломбу. Ещё через 3 года - третья пломба. Итого за 9 лет - 15 тысяч рублей и зуб, который еле держится. Или вы сразу делаете вкладку за 20 тысяч - и она стоит все эти 15-20 лет без проблем, плюс зуб сохраняется максимально.
Вкладка имеет смысл когда:
  • Разрушено больше 30-40% коронки зуба
  • У вас бруксизм (скрежет зубами во сне) - пломбы быстро стираются
  • Вы не хотите переделывать реставрацию каждые несколько лет
  • Зуб находится в зоне высокой жевательной нагрузки (жевательные моляры)
Вот вам сравнительная табличка:
Параметр
Большая световая пломба
Керамическая вкладка
Срок службы
3-5 лет
15-20 лет
Усадка материала
2% (есть риск трещин)
0,1% (практически нет)
Прочность
Средняя (может крошиться)
Высокая (как эмаль)
Изготовление
За одно посещение
За два посещения (нужна лаборатория)
Стоимость
5 000 - 8 000 руб.
18 000 - 30 000 руб.
Когда использовать
Разрушение до 30%
Разрушение от 30% до 60%
Моё личное мнение, как врача с 18-летним стажем: если от зуба осталось меньше половины - не жадничайте, делайте вкладку. Это реально экономия в долгосрочке. А пломбу на таких объёмах я ставлю только если пациент категорически отказывается от вкладки по финансам. Но честно предупреждаю: это временное решение, переделывать придётся.

Штифты: спасение или приговор для зуба?

Виды штифтов в стоматологии: от металла до стекловолокна

Окей, теперь ситуация ещё хуже. Представьте: от зуба остались буквально "рожки да ножки" - разрушена вся коронковая часть, торчат только стенки и корень. Нерв, скорее всего, уже убит (депульпирован), каналы запломбированы. Что делать? Просто так пломбу не налепишь - не на что опираться, она отвалится при первой же нагрузке. Вот тут в игру вступает штифт - это стержень, который вставляется в корневой канал и служит основой для восстановления коронки зуба.
Звучит как спасение? Может быть. А может стать гвоздём в гроб для зуба (буквально!!). Потому что штифты бывают разные, и от выбора зависит судьба зуба.
Металлические анкерные штифты - это классика советской стоматологии. Титановый или стальной стержень с резьбой, который ввинчивается в канал. Очень прочный. Настолько прочный, что часто прочнее самого корня! И вот тут беда: при жевательной нагрузке металлический штифт не гнётся (он жёсткий как гвоздь), зато корень зуба - гнётся. Дентин корня имеет определённую эластичность. Получается, что штифт работает как клин, постепенно раскалывая корень изнутри. Вертикальный перелом корня - это приговор, зуб удаляется. По статистике, треть зубов на металлических штифтах ломаются в течение 5-10 лет.
Плюс металл может просвечивать через коронку (серая полоска у десны), может окислять ткани зуба (потемнение), может вызывать аллергию (редко, но бывает). Я металлические штифты не использую лет десять уже. Только в крайних случаях, когда другого выхода нет.
Стекловолоконные штифты - это современный стандарт. Композитный материал, армированный стекловолокном. По структуре напоминает углепластик - лёгкий, но прочный. Главное преимущество - модуль упругости (гибкость) близок к дентину. То есть штифт гнётся вместе с зубом при нагрузке, не создаёт внутреннего напряжения. Риск перелома корня минимален. Плюс он белый, не просвечивает через коронку, эстетичный. Минус - чуть дороже металла (но разница копеечная, рублей 500). Устанавливается легко: врач подбирает диаметр штифта под канал, промазывает композитным цементом, вставляет в канал, засвечивает лампой. Потом наращивает коронку из композита прямо на штифт.
Углеродоволоконные штифты - это золотая середина между металлом и стекловолокном. Углепластик ещё прочнее, ещё более биосовместимый. Но они редко встречаются в России и дороже. На практике стекловолокна достаточно для 95% ситуаций.
Сравним основные типы:
Тип штифта
Материал
Прочность
Гибкость
Риск перелома корня
Эстетика
Цена
Металлический анкерный
Титан, сталь
Очень высокая
Нет (жёсткий)
Высокий (работает как клин)
Плохая (просвечивает)
Низкая
Стекловолоконный
Композит + стекловолокно
Высокая
Да (как дентин)
Низкий
Отличная (белый цвет)
Средняя
Углеродоволоконный
Композит + углеволокно
Очень высокая
Да
Очень низкий
Отличная
Высокая
Моя рекомендация простая: если вам предлагают поставить металлический штифт - спросите, почему не стекловолоконный. Если врач начинает мямлить про "металл прочнее" - это красный флаг. Прочность тут не главное, главное - биомеханика. Зуб на стекловолоконном штифте проживёт дольше, потому что не расколется.

Штифт или культевая вкладка: разница принципиальная 💡

Теперь усложним задачу. Допустим, у вас разрушен жевательный зуб - моляр. У него не один корень, а два или три. Как быть? Штифт-то один, а корней несколько. Можно в каждый корень засунуть по штифту, но это выглядит как партизанщина. Конструкция получится ненадёжная, штифты будут работать независимо, под разными углами. Риск, что один вылетит или сломается - огромный.
Для таких случаев придумали культевую вкладку. Это литая металлическая (реже - циркониевая) конструкция, которая состоит из:
  • Нескольких штифтов (по числу корней)
  • Единой "культи" - площадки, на которую потом наденут коронку
Всё это отливается в зуботехнической лаборатории как единое целое по слепку вашего зуба. Получается, что штифты жёстко связаны между собой, работают как единая система, распределяют нагрузку равномерно на все корни. Надёжность в разы выше, чем у набора отдельных штифтов.
Процесс установки:
  1. Врач пломбирует каналы
  2. Распломбировывает их на 2/3 длины (освобождает место под штифты вкладки)
  3. Снимает слепок
  4. Техник отливает вкладку из хром-кобальта (реже - золото, цирконий)
  5. Через неделю врач фиксирует вкладку в корнях на стеклоиономерный цемент
  6. Сверху надевается коронка (керамическая, металлокерамика, цирконий)
Культевая вкладка обязательна, когда:
  • Многокорневой зуб (моляры, премоляры)
  • Разрушено больше 70% коронки
  • Планируется мостовидный протез (вкладка выдержит нагрузку от соседних зубов)
  • Корни расходятся под разными углами
Почему штифт + пломба дешевле, но часто не оправдан? Потому что пломбировочный материал на штифте - это всё равно не монолит. Композит со временем даёт микроусадку, между ним и штифтом образуются микрощели. Туда просачивается слюна, бактерии - начинается вторичный кариес под коронкой. Снимаете коронку через 5 лет - а там половина "зуба" (то есть композита на штифте) сгнило. Приходится переделывать.
С культевой вкладкой такого не происходит. Металл не гниёт, не усаживается, не крошится. Если коронка износилась - снял, поставил новую. Вкладка остаётся на месте десятилетиями.
Личное мнение: на жевательные зубы (где от зуба мало что осталось) - только культевая вкладка. На передние (там корень обычно один) - можно стекловолоконный штифт + коронка. Штифт + пломба без коронки - только как временный вариант на пару лет максимум.

Осложнения после штифтов: когда "укрепление" убивает зуб

А теперь о том, что может пойти не так. Установка штифта - это вмешательство в корень зуба, и малейшая ошибка ведёт к осложнениям.
Почему болит зуб после установки штифта? Варианты:
  • Воспаление в периодонте (ткани вокруг корня). Это может быть остаточная инфекция в канале - плохо пролечили до установки штифта. Или инфекцию занесли в процессе. Симптомы: ноющая боль, усиливается при накусывании, может припухнуть десна. Лечение - вынимать штифт, распломбировывать каналы, лечить периодонтит заново. Муторно.

  • Перфорация корня. Это когда врач при подготовке под штифт (расширении канала) случайно просверлил стенку корня насквозь. Получается дырка наружу. Через неё инфекция выходит в окружающую кость - начинается воспаление, киста, свищ на десне. Перфорацию можно попытаться закрыть специальными материалами (MTA), но успех не гарантирован. Часто зуб приходится удалять.

  • Аллергия на металл. Редко, но бывает. Титан вроде биосовместимый, но организм иногда выдаёт странные реакции. Десна вокруг зуба краснеет, отекает, может быть зуд. Решение - менять металлический штифт на стекловолоконный.

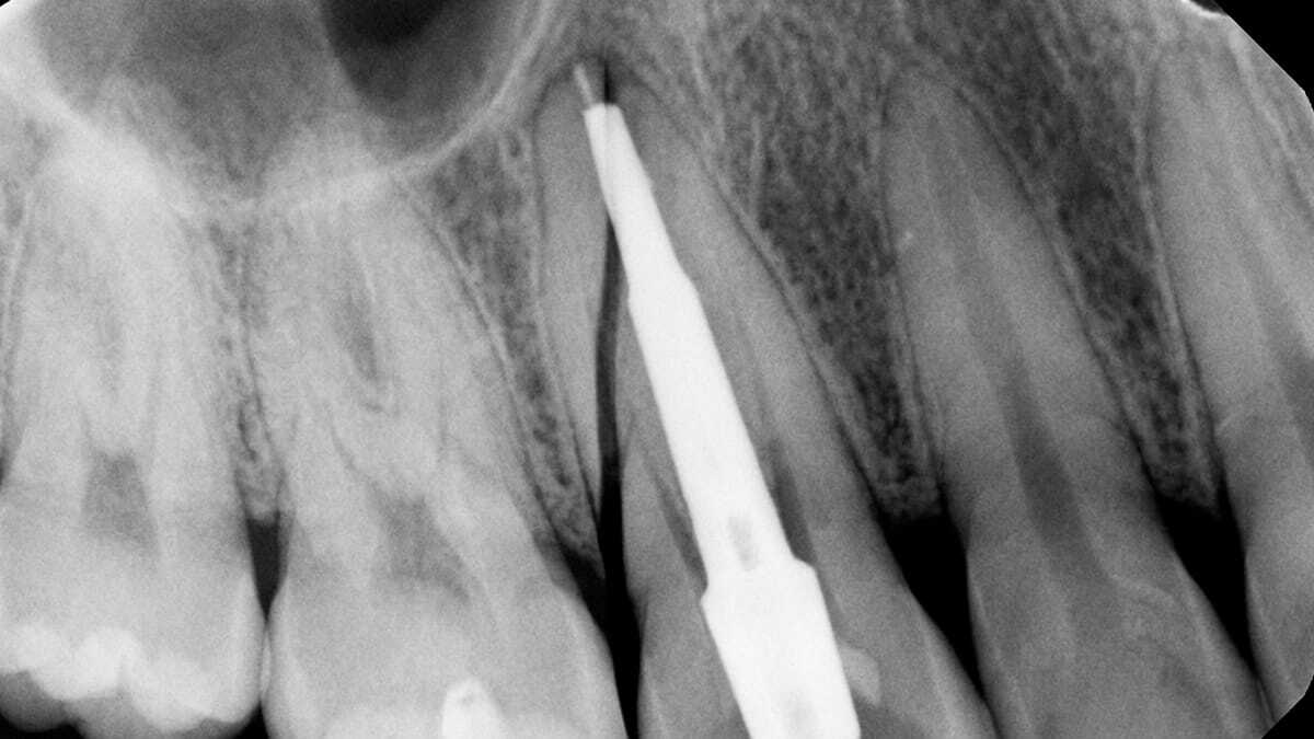
  • Вертикальный перелом корня. Самое страшное. Металлический штифт при перегрузке раскалывает корень вдоль. Симптомы: сначала может ничего не болеть, потом появляется дискомфорт при жевании, свищ на десне, подвижность зуба. На снимке видна тёмная полоска вдоль корня. Лечения нет - только удаление. Печально, но факт: примерно 30% зубов на металлических штифтах рано или поздно ломаются. Вот почему я так ратую за стекловолокно!!
Вертикальный перелом корня
Клинический случай:
Мужчина, лет 50, пришёл с жалобой на свищ на десне над передним верхним зубом. Зуб под коронкой, на металлическом штифте. Коронку поставили три года назад в другой клинике. Снимаем коронку, делаем прицельный снимок - и там... Вертикальный перелом корня. Чёткая трещина идёт вдоль всего корня, от коронковой части до верхушки. Металлический штифт сработал как клин.
Что характерно: такие переломы часто незаметны первое время. Зуб может не болеть вообще. Инфекция потихоньку просачивается через трещину, образуется хроническое воспаление, свищ. К тому моменту, как пациент приходит с проблемой, спасать уже нечего.
Зуб удалили. Пациент расстроился: "Как же так, совсем недавно коронку ставил, деньги заплатил!" Объяснил, что виноват выбор материала штифта. Если бы три года назад поставили стекловолоконный, с высокой вероятностью зуб бы жил. А так - имплантация, ещё 50 тысяч рублей и полгода лечения.
Сейчас я всем своим пациентам показываю фотки таких случаев, когда речь заходит о штифтах. Пусть лучше переплатят 500 рублей за стекловолокно, чем потом меняют зуб на имплант.

Лечение каналов: как "спасение" превращается в катастрофу

Ошибки эндодонтии: что может пойти не так

Эндодонтия - это раздел стоматологии, который занимается лечением корневых каналов. Когда кариес добрался до нерва (пульпы) или развился периодонтит (воспаление вокруг корня), приходится лезть внутрь зуба. Убирать нерв, чистить каналы, пломбировать их. Звучит просто? На практике - одна из самых сложных и ювелирных процедур в стоматологии. Потому что канал - это узкий извилистый туннель диаметром меньше миллиметра, спрятанный внутри зуба. Работаешь практически вслепую (если нет микроскопа). И накосячить можно на каждом этапе.
Недопломбированный канал - враг номер один. Врач прошёл канал инструментом, вычистил инфицированную пульпу, обработал антисептиком и заполнил гуттаперчей (это такой резиноподобный материал для пломбирования каналов). Но! Заполнил не до верхушки корня, а не дошёл пару миллиметров. Или в канале есть боковые ответвления, а туда материал не попал. Результат? В незаполненной части остаются бактерии. Они размножаются, выходят за пределы корня, формируется периодонтит, киста на верхушке. Зуб начинает ныть через полгода-год после лечения. Приходится перелечивать: распломбировывать канал заново, чистить, опять пломбировать. Муторно, дорого, и зуб теряет ещё больше тканей.
Перепломбированный канал - когда врач, наоборот, выдавил пломбировочный материал за верхушку корня в окружающую кость. Иногда это допустимо (если там хроническое воспаление), но чаще ведёт к проблемам. Материал может сдавить нерв (особенно на нижней челюсти, где близко проходит нижнечелюстной нерв) - получается онемение губы, подбородка. Или вызвать аллергическую реакцию, хроническую боль. Видел случаи, когда приходилось делать резекцию верхушки корня (отпиливать кусок корня хирургически), чтобы убрать лишний материал.
Обломок инструмента в канале - эндодонтические файлы (иглы, которыми проходят канал) тонкие и хрупкие. При неаккуратном использовании могут сломаться и остаться внутри. Если обломок небольшой и находится у верхушки, а канал за ним запломбирован - иногда это не критично. Но если обломок крупный и блокирует канал, мешая его пломбировке - беда. Инфекция остаётся внутри, зуб будет болеть. Извлечь обломок можно только под микроскопом (специальными ультразвуковыми насадками), и то не всегда. Иногда проще удалить зуб, чем вытащить застрявший кусок файла.
Перфорация стенки канала - когда врач при расширении канала уходит в сторону и просверливает стенку корня насквозь. Получается лишняя дырка, через которую инфекция выходит в кость. Лечить перфорацию сложно (запечатывают специальными материалами типа MTA), но не всегда успешно. Часто зуб приходится удалять.
Табличка основных осложнений:
Осложнение
Причина
Последствия
Как исправить
Недопломбированный канал
Материал не дошёл до верхушки
Хроническая инфекция, киста
Перелечивание
Перепломбирование
Материал вышел за верхушку
Боль, онемение (редко)
Наблюдение или резекция верхушки
Обломок инструмента
Поломка файла в канале
Блокирует пломбировку
Извлечение под микроскопом (не всегда возможно)
Перфорация корня
Ошибка при расширении канала
Инфекция в кость, киста
Закрытие перфорации (MTA) или удаление зуба
Пропущенный канал
Врач не нашёл один из каналов
Хроническое воспаление
Перелечивание с поиском всех каналов
Самое обидное: большинства этих ошибок можно избежать, если работать под микроскопом и использовать рентген-контроль на каждом этапе. Но микроскоп есть не везде (стоит он как иномарка), а рентген многие врачи делают только в начале и конце лечения (а надо бы в процессе тоже).

Лечение каналов под микроскопом: революция или маркетинг?

Дентальный микроскоп - это штука с 20-30-кратным увеличением, которая позволяет врачу видеть внутренность зуба в мельчайших деталях. Представьте: без микроскопа вы работаете практически на ощупь, полагаясь на опыт и рентгеновские снимки. С микроскопом - видите каждую трещинку, каждое ответвление канала, каждый миллиметр.
Что даёт микроскоп на практике:
  • Находите все каналы. У моляров может быть 3-4 канала, и один из них бывает скрыт. Без микроскопа его легко пропустить - и привет, хроническое воспаление. С микроскопом пропустить невозможно - видишь все входы.

  • Меньше перфораций. Когда видишь направление канала, риск уйти в сторону и просверлить стенку минимален.

  • Можно извлечь обломки инструментов. Под микроскопом + ультразвуковая насадка = шансы вытащить застрявший файл вырастают с 10% до 70%.

  • Перелечивание проще. Когда нужно распломбировать старый канал (убрать гуттаперчу или цемент), под микроскопом это делается точнее и быстрее, меньше травмируешь зуб.
Стоит ли переплачивать? Лечение каналов под микроскопом дороже примерно в 1,5-2 раза. В Москве это разница между 8 000 и 15 000 рублей за один канал. Казалось бы, много. Но давайте посчитаем риски:
  • Без микроскопа: вероятность пропустить канал или неполноценно запломбировать - примерно 20-30% (по исследованиям). Если это случилось - через год-два перелечивание, ещё деньги, плюс зуб теряет прочность при повторном вмешательстве.
  • С микроскопом: вероятность ошибки падает до 5-7%. Лечение с первого раза, зуб служит 10-15 лет без проблем.
Моё мнение: если речь идёт о перелечивании (когда зуб уже лечили, но неудачно) - микроскоп обязателен!! Без него шансы на успех стремятся к нулю. Если это первичное лечение простого зуба (передний резец с одним прямым каналом) - можно обойтись без микроскопа, если врач опытный. Но если это жевательный зуб с 3-4 каналами, или канал искривлённый, или есть подозрение на дополнительные каналы - лучше с микроскопом. Переплатите один раз, зато зуб точно будет вылечен качественно.
Правда, есть нюанс: наличие микроскопа в клинике не гарантирует качество. Врач ещё должен уметь им пользоваться (это отдельное обучение, несколько курсов). Я знаю клиники, которые купили микроскоп "для престижа", а врачи с ним толком работать не умеют. Так что спрашивайте: как долго у доктора опыт работы под микроскопом, проходил ли он специализацию по эндодонтии.

Современные методы лечения: что действительно работает, а что - хайп 🔬

Лечение зубов во сне: кому это нужно

Лечение под седацией или наркозом - одна из самых обсуждаемых тем. Пациенты делятся на два лагеря: одни мечтают "уснуть и проснуться с готовыми зубами", другие боятся наркоза больше, чем бормашины. Давайте разберёмся, что это вообще такое.
Первое дело: седация и наркоз - это не одно и то же!
Седация (обычно ЗАКС - закись азота + кислород, или внутривенная седация пропофолом) - это медикаментозное расслабление. Вы в сознании, дышите сами, можете отвечать на вопросы врача. Просто очень-очень расслаблены, тревога уходит, время летит незаметно. Боли нет (местная анестезия действует как обычно). Побочек минимум, отходите быстро. Подходит для большинства пациентов, у которых просто страх перед лечением.
Общий наркоз - это уже серьёзно. Вас полностью "выключают", дыхание поддерживается аппаратом ИВЛ, присутствует анестезиолог-реаниматолог. После наркоза нужно несколько часов на восстановление, могут быть побочки (тошнота, головокружение). Используется редко: для детей с неконтролируемым поведением, для пациентов с тяжёлой психиатрией, для больших объёмов хирургии (типа удаление 10 зубов за раз).
Показания для седации/наркоза:
✅ Панические атаки при виде стоматолога
✅ Сильный рвотный рефлекс (мешает работе врача)
✅ Ребёнок не даёт себя лечить (вырывается, истерит)
✅ Нужно сделать много работы за одно посещение (чтобы не растягивать на месяцы)
Противопоказания:
⚠️ Тяжёлые болезни сердца, лёгких
⚠️ Декомпенсированный диабет
⚠️ Аллергия на препараты для наркоза
⚠️ Беременность (особенно 1 и 3 триместры)
Личное мнение: седация - это не "роскошь для трусов", а нормальная опция для комфортного лечения. Если вы боитесь так, что откладываете поход к врачу годами, лучше один раз вылечиться под седацией, чем довести зубы до удаления. Но это не решение для всех подряд. Если вы спокойно сидите в кресле на обычной анестезии - нет смысла переплачивать (седация стоит +10 000 - 20 000 рублей к цене лечения).
Общий наркоз - только по строгим показаниям. Это всегда риск (пусть и небольшой), и решение принимается совместно стоматологом и анестезиологом.

Инновации: от озона до стволовых клеток

Стоматология не стоит на месте. Каждый год появляются "революционные" методы лечения. Одни действительно работают, другие - маркетинговая шумиха. Давайте разберём самые популярные.
Озонотерапия. Суть: озон (О₃) - мощный окислитель, убивает бактерии. Специальным аппаратом подают озон в кариозную полость, он стерилизует её. Теоретически можно лечить начальный кариес без сверления.
Реальность: работает только на самом раннем кариесе (стадия белого пятна), когда эмаль ещё не разрушена. Если дыра уже есть - озон не поможет, нужно высверливать и пломбировать. Плюс озон не убирает размягчённый дентин, только обеззараживает поверхность. Я озон использую иногда как дополнение (перед пломбированием обрабатываю полость для дезинфекции), но не как основной метод. Скажем так, штука неплохая, но не панацея.
Лазер в стоматологии. Лазеры применяются для: препарирования кариеса (вместо бормашины), лечения дёсен, отбеливания, стерилизации каналов. Звучит футуристично!!
Реальность: лазерное препарирование кариеса медленнее обычной бормашины в разы. Подходит для детей (меньше пугает), но на практике не прижилось. Для дёсен лазер неплох (лечение пародонтита, гингивэктомия) - меньше крови, быстрее заживление. Для каналов - спорно, не лучше качественной медикаментозной обработки. Лазерное отбеливание - это вообще маркетинг, обычное химическое отбеливание не хуже.
Вывод: лазер - не замена классическим методам, а дополнение. Если вам говорят "мы лечим только лазером, без бормашины" - скорее всего, преувеличивают.
Выращивание зубов из стволовых клеток. Это мечта: вместо импланта вырастить новый настоящий зуб. В 2020-х годах японские и американские учёные провели эксперименты на мышах и свиньях - удалось вырастить зачатки зубов из стволовых клеток.
Реальность: до клинического применения на людях ещё лет 10-15 минимум (как говорил мой завкаф). Проблем куча: как контролировать рост зуба, как интегрировать его в челюсть, как обеспечить правильную форму и прикус. Пока это экспериментальная технология. Так что если вам нужен зуб сейчас - только имплант. Через 15-20 лет, возможно, появится альтернатива, но не раньше.
Что из инноваций стоит попробовать прямо сейчас:
✅ Микроскоп для лечения каналов (уже рутина в хороших клиниках)
✅ Цифровая томография (3D-снимок челюсти, точность диагностики в разы выше)
✅ Цифровое сканирование вместо слепков (быстрее, комфортнее)
✅ CAD/CAM-технологии (коронки, вкладки изготавливаются на фрезеровальном станке прямо в клинике за 1-2 часа)
А вот это пока можно пропустить:
⚠️ Лазерное препарирование (не лучше бормашины)
⚠️ Озон как основной метод лечения кариеса (только дополнение)
⚠️ "Чудо-пасты" для реминерализации глубокого кариеса (не заменят пломбу)

Как избежать "кладбища пломб": практические советы

Можно ли лечить зубы при беременности

Один из самых частых вопросов от будущих мам. Разом развею мифы: лечить зубы при беременности можно и нужно! Но с нюансами.
Триместры имеют значение:
  • Первый триместр (1-12 недель) - идёт закладка всех органов плода, любое вмешательство нежелательно. Лечим только экстренные случаи (острая боль, флюс). Плановое лечение откладываем.
  • Второй триместр (13-27 недель) - оптимальное время!! Плацента уже сформирована, плод защищён, токсикоз прошёл. Можно лечить кариес, ставить пломбы, удалять зубы (если нужно).
  • Третий триместр (28-40 недель) - можно, но осторожно. Тяжело сидеть в кресле (большой живот давит на сосуды), риск преждевременных родов от стресса. Лечим только то, что не может подождать.
Анестезия: какую можно? Современные местные анестетики безопасны для беременных. Используем препараты без адреналина (вазоконстрикторов) или с минимальной дозой. Например, ультракаин, убистезин, септанест. Они не проникают через плаценту в значимых количествах. Наркоз и седация - категорически нет (кроме жизненных показаний).
Рентген: можно ли? Прицельные снимки зубов (визиограф) - можно, доза облучения минимальная (меньше, чем вы получите за час полёта на самолёте). Обязательно закрывают живот свинцовым фартуком. Панорамные снимки и компьютерную томографию (3D) - лучше избегать (доза выше). Делаем только если без этого невозможно поставить диагноз.
Что точно нельзя при беременности:
❌ Имплантация (операция + приём антибиотиков - ненужный риск)
❌ Отбеливание (агрессивные химикаты)
❌ Лечение под наркозом
❌ Удаление зубов мудрости планово (только по экстренным показаниям)
Мой совет: планируете беременность - сходите к стоматологу заранее, вылечите всё что нужно. Уже беременны - не откладывайте лечение, если зуб болит. Инфекция во рту опаснее для плода, чем визит к стоматологу. Просто выбирайте клинику, где врачи имеют опыт работы с беременными, и предупреждайте о сроке.

Что делать, если выпала пломба: алгоритм действий ✅

Паника - первая реакция большинства пациентов. "Боже, зуб развалился, что теперь?!" Без паники. Пломба выпадает - это неприятно, но не катастрофа. Главное - действовать правильно и быстро.
Почему пломбы выпадают:
  • Вторичный кариес под пломбой разрушил стенку зуба
  • Полимеризационная усадка материала (со временем отслоился)
  • Бруксизм (скрежет зубами) - перегрузка на пломбу
  • Неправильная форма пломбы (врач не учёл жевательную нагрузку)
  • Вы грызли что-то твёрдое (орехи, лёд, кости)
Первая помощь дома:
  1. Прополощите рот тёплой водой, удалите остатки пломбы (если они во рту)
  2. Осмотрите зуб в зеркале - если острые края царапают язык, можно временно залепить стоматологическим воском (продаётся в аптеке) или жевательной резинкой без сахара (в крайнем случае)
  3. Избегайте жевать на этой стороне
  4. Не ковыряйте зуб зубочисткой/иголкой!! Можете повредить
  5. Если болит - ибупрофен или парацетамол (обезболивающее)
Как быстро нужно к врачу? Зависит от ситуации:
  • Зуб не болит, полость небольшая - можно записаться в течение недели
  • Болит на холодное/горячее - желательно в течение 2-3 дней (может развиться пульпит)
  • Острая боль, не проходит от обезболивающих - срочно, в тот же день (возможно, нерв воспалился)
Можно ли временно "заклеить" зуб самостоятельно? В аптеках продаются временные пломбы (Темпопро, Дентос). Это цементы, которые можно замешать дома и заложить в полость. Держатся пару недель. Полезно, если нет возможности попасть к врачу быстро (командировка, отпуск в глуши). Но это НЕ замена нормального лечения! Временная пломба не герметична, под неё всё равно затекают бактерии. Через 1-2 недели - обязательно к стоматологу.
Чего категорически не делать:
❌ Игнорировать выпавшую пломбу месяцами ("да не болит же, зачем идти")
❌ Пытаться приклеить выпавший кусок суперклеем (серьёзно, такое видел)
❌ Жевать на больном зубе твёрдую пищу (можете расколоть стенку)

Как продлить срок службы пломб: 5 простых правил

Пломба - не вечная. Но можно максимально отсрочить её замену, если следовать простым правилам.
Правило первое: гигиена. Звучит банально? Но 90% проблем с пломбами - это вторичный кариес. Бактерии скапливаются на границе пломбы и зуба, выделяют кислоту, разрушают эмаль, проникают под пломбу. Чистите зубы дважды в день по 2-3 минуты (не 30 секунд на бегу!). Используйте зубную нить или ирригатор - щётка не достаёт между зубами, а там как раз и находятся края пломбы. Ополаскиватель с фтором после чистки - тоже плюс, укрепляет эмаль вокруг пломбы.
Правило второе: профчистка раз в полгода. У стоматолога-гигиениста. Снимают твёрдый налёт (камень), который накапливается под десной и давит на зуб. Полируют пломбы - гладкая поверхность меньше собирает налёт. Покрывают зубы фторлаком - дополнительная защита от кариеса. Это не роскошь, это профилактика. Одна профчистка стоит 3-5 тысяч рублей, одна новая пломба - те же 5-8 тысяч. Выгода очевидна.
Правило третье: контроль бруксизма. Если вы скрипите зубами во сне (спросите у партнёра или родных) - это бруксизм. Жевательные мышцы непроизвольно сокращаются, зубы стираются, пломбы крошатся. Решение - ночная капа. Изготавливается по слепку ваших зубов, надеваете перед сном. Капа принимает на себя нагрузку, зубы и пломбы целы. Стоит 5-10 тысяч рублей, служит несколько лет.
Правило четвёртое: питание. Меньше кислот (газировки, цитрусовые, вино) - они растворяют эмаль вокруг пломбы. Меньше контрастов температур - горячий кофе сразу после мороженого (тепловое расширение/сжатие материала, микротрещины). Не грызите твёрдое - орехи, лёд, кости, карамель (пломба не рассчитана на такие нагрузки). Больше кальция и фосфора (молочка, рыба) - укрепляют зубы.
Правило пятое: регулярные осмотры. Раз в 6 месяцев (или хотя бы раз в год) приходите к стоматологу на профилактический осмотр. Врач проверит пломбы на сколы, трещины, краевое прилегание. Если пломба начала отслаиваться - лучше переделать её сейчас, пока зуб не разрушился. Раннее обнаружение проблемы = меньше потерь тканей зуба и денег. По методу Шварцбурда - "легче удержать, чем догнать".
Следуя этим правилам, световая пломба проживёт не 3-5 лет, а все 7-10. А керамическая вкладка - вообще лет 20. Проверено на моих пациентах.

FAQ: Частые вопросы о пломбах и штифтах

Почему болит зуб под пломбой?
Если боль появилась сразу после лечения - это может быть нормальная реакция (зуб травмирован сверлением, нерв раздражён). Должно пройти за 1-2 недели. Помогают обезболивающие (ибупрофен). Если боль усиливается или не проходит больше двух недель - нужно срочно к врачу. Возможные причины: под пломбой остался кариес, врач перегрел зуб бормашиной, началось воспаление нерва (пульпит), завышена пломба (бьётесь при жевании). Тянуть нельзя - может дойти до удаления нерва или даже потери зуба.
Опасны ли пломбы из амальгамы?
Амальгама содержит ртуть, и да, она постепенно испаряется. Но в таких мизерных количествах, что ВОЗ считает её безопасной. Хотя с 2020 года Европа запретила амальгаму для детей и беременных из предосторожности. Если у вас стоят старые амальгамовые пломбы - удалять их специально не нужно (при удалении выделяется больше паров ртути, чем при ношении). Но когда придёт время менять - замените на световой композит или керамику. Новые пломбы из амальгамы не ставят уже лет 15-20, устарели.
Сколько служит световая пломба?
В среднем 5-7 лет при правильной установке и уходе. На передних зубах (меньше нагрузка) может прожить и 10 лет. На жевательных (особенно если вы любите грызть орехи) - года 3-4. Зависит от объёма пломбы (большие служат меньше), от гигиены (если не чистить зубы - вторичный кариес и переделка через пару лет), от материала (современные композиты типа Filtek, Estelite служат дольше дешёвых). Если врач работал с коффердамом, соблюдал протокол адгезии - пломба проживёт заявленный срок. Без коффердама - может отвалиться и через год.
Можно ли ставить коронку без штифта?
Да, если от зуба осталось хотя бы 40-50% коронковой части. Врач обтачивает зуб под коронку, и её фиксируют на цемент. Но если зуб сильно разрушен (остались только тонкие стенки) - коронка без опоры не выдержит жевательную нагрузку, зуб расколется под ней. Тут нужна либо культевая вкладка, либо штифт. Иногда делают так: наращивают коронковую часть композитом на стекловолоконном штифте, потом сверху ставят коронку. Вариант экономный, но менее надёжен, чем культевая вкладка.
Что лучше: вкладка или большая пломба?
Если разрушено больше 30% зуба - однозначно вкладка. Большая пломба на таких объёмах даёт усадку, появляются микротрещины, она начинает крошиться через 3-5 лет. Вкладка изготавливается в лаборатории, усадка нулевая, служит 15-20 лет. Да, дороже раза в три. Но если считать, сколько раз придётся менять пломбу за эти годы (плюс каждый раз терять часть зуба) - вкладка выгоднее. Я всегда говорю пациентам: пломба - это временное решение на больших разрушениях, вкладка - долгосрочное.

Заключение: Лечить с умом, а не "для галочки"

Главная мысль этой статьи: иногда "не трогать" - лучшее решение, чем бесконечно перелечивать. Каждое вмешательство в зуб - это потеря тканей. Высверлил кариес - зуб стал слабее. Расширил полость под новую пломбу - ещё слабее. Убрал нерв - зуб мёртвый, хрупкий. Поставил штифт - риск перелома корня. И так по нарастающей, пока зуб не превратится в руины, которые можно только удалить.
Как выбрать врача, который не будет перелечивать? Вот мои критерии:
  • Врач объясняет, зачем нужно лечение (не просто "у вас кариес", а "вот на снимке видна полость, если не убрать - дойдёт до нерва")
  • Предлагает варианты (а не один-единственный "надо коронку ставить")
  • Работает с коффердамом, использует микроскоп (хотя бы для каналов)
  • Делает контрольные снимки в процессе лечения (а не только до и после)
  • Не давит ("если не сделаете прямо сейчас - потеряете зуб!")
  • Даёт гарантию на работу (год минимум)
Вопросы, которые стоит задать стоматологу перед лечением:
  1. Можно ли обойтись без этого вмешательства? (наблюдать, реминерализация)
  2. Какие альтернативы лечению? (пломба vs вкладка vs коронка)
  3. Почему вы предлагаете именно этот материал/метод?
  4. Каковы риски и осложнения?
  5. Сколько прослужит эта конструкция?
  6. Что будет, если я не сделаю это сейчас, а отложу на полгода?
Инвестируйте в профилактику, а не в бесконечные переделки. Профчистка раз в полгода + осмотр + нормальная гигиена дома = вы сэкономите десятки тысяч рублей на лечении. А если уж лечите - делайте сразу качественно. Выбирайте хороших врачей, не гонитесь за дешевизной (дешёвая пломба выйдет дороже, когда будете её переделывать через год), не экономьте на материалах (стекловолоконный штифт вместо металла, вкладка вместо большой пломбы).
Зубы даны нам один раз. Имплант, конечно, неплохая замена, но свой зуб всегда лучше. Даже если от него остались рожки да ножки - порой его ещё можно спасти, если подойти с умом. Не допускайте, чтобы ваша челюсть превратилась в кладбище пломб и штифтов. Лечитесь вовремя, лечитесь качественно, и ваши зубы прослужат до старости. Здоровья вам и крепких зубов! 🦷
________
Запись на прием и дополнительная информация

По телефону в «Аркада-Мед»: +7 (495) 365-19-29
По телефону в «Эликсир-Дентис»: +7 (495) 366-69-66
Вконтакте Аркада-Мед
Дзен Аркада-Мед
На сайте: arkada-med.ru
Проконсультируйтесь со специалистом.

МЫ В СОЦИАЛЬНЫХ СЕТЯХ

Читайте также:

Новости, статьи, блог
Показать еще