• »
  • »

Цифровой протокол имплантации и аппарат Penguin: почему нельзя ставить импланты «на глаз»

Почему нельзя делать зубы на глаз?
Имплантация зубов — это не та область, где можно полагаться на интуицию. Даже если врач установил тысячу имплантатов, его глаза не видят сквозь кость. Не видят, где проходит нерв. Не чувствуют, насколько плотно имплантат держится в челюсти. Для этого нужны приборы и протоколы. Точка.
В этой статье разберём, почему цифровой протокол имплантации — это не маркетинговая надбавка к чеку, а фундамент вашей безопасности. Поговорим об аппарате Penguin RFA, который измеряет стабильность имплантата объективно — цифрами, а не ощущениями. И объясним, как птеригоидные имплантаты позволяют избежать костной пластики даже в сложных случаях.

Имплантация «на глаз» — почему это до сих пор существует

Казалось бы, 2026 год на дворе. Технологии позволяют спланировать операцию до миллиметра. Но некоторые врачи продолжают работать «по старинке». Почему?

Что значит «работать на глаз» в имплантации

Представьте: хирург смотрит на рентгеновский снимок (плоский, двумерный!), примерно прикидывает, куда поставить имплантат, и начинает сверлить. Без 3D-модели челюсти. Без хирургического шаблона — специальной капы, которая направляет сверло точно в нужную точку. Без объективного контроля, прижился ли имплантат.
Это и есть работа «на глаз». Врач полагается на свой опыт и тактильные ощущения. Мол, «рука чувствует кость».
Проблема в том, что рука не чувствует нерв, который проходит в двух миллиметрах от места сверления. Рука не знает, что гайморова пазуха — воздушная полость над верхними зубами — у этого пациента расположена ниже, чем обычно. Рука не видит, что кость здесь пористая, как губка, и имплантат не получит достаточной фиксации.

Три главных риска слепой имплантации

Первое дело — повреждение нервов. На нижней челюсти проходит нижнечелюстной нерв. Если задеть его при установке имплантата, пациент получит онемение губы и подбородка. Иногда временное, иногда — на годы. Это не «небольшой дискомфорт». Это когда вы не чувствуете, что у вас течёт кофе по подбородку.
Следующая фишка — перфорация гайморовой пазухи. Это когда имплантат «проваливается» в воздушную полость над верхней челюстью. Хронические гаймориты, постоянная заложенность носа, необходимость удалять имплантат и лечить синусит. Приятного мало!!
И последнее — неправильный угол установки. Имплантат стоит криво, нагрузка распределяется неравномерно. Через пару лет — костная убыль вокруг имплантата, расшатывание, отторжение. И пациент снова в кресле, но уже с осложнениями после имплантации.

Когда «опыт» врача становится опасным

Вот парадокс: чем увереннее врач в своём опыте, тем выше риск ошибки. Как говорил мой завкаф: «Самоуверенность — это когда ты знаешь, что не знаешь, но думаешь, что знаешь». Хотя нет, не так он говорил… но смысл именно такой.
Это называется когнитивная ловушка. Врач провёл сто успешных операций без шаблона — и начинает верить, что шаблон ему не нужен. Но статистика работает против него. Рано или поздно попадётся пациент с нетипичной анатомией. И тогда «опыт» не спасёт.
Недавние исследования показали неприятную штуку: без навигации рука уходит в сторону на 2-3 мм. Даже у опытных врачей. И вот представьте — у человека нерв лежит в двух миллиметрах. Эти два миллиметра — вся разница между “отлично прижилось” и “полгода не чувствую губу”

Цифровой протокол имплантации — что это и зачем он нужен 📊

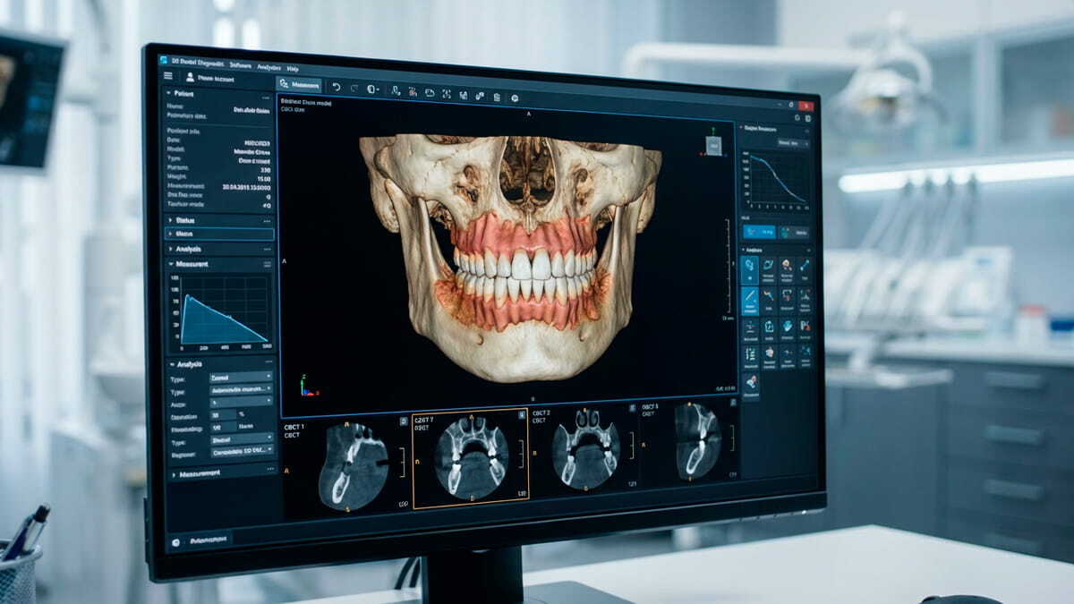
Цифровой протокол - КТ и 3D-моделирование челюсти
Цифровой протокол — это когда каждый этап имплантации спланирован на компьютере ДО того, как врач взял в руки инструменты. Никаких сюрпризов. Никаких «ой, а тут нерв».

КТ и 3D-моделирование челюсти — фундамент планирования

КТ — это как Google-карта вашей челюсти, только в 3D и с детализацией до долей миллиметра. Обычный снимок рядом с ней — как нарисованная от руки схема проезда. На томограмме врач видит всё:
  • Точное расположение нервов и сосудов
  • Границы гайморовых пазух
  • Плотность кости в каждой точке
  • Высоту и ширину костного гребня
На обычном рентгене всё это — плоская тень. Как пытаться понять устройство дома по его силуэту на закате. КТ даёт полную картину.
На основе томограммы создаётся 3D-модель челюсти. И вот тут начинается самое интересное — виртуальное планирование операции.

Хирургический шаблон — GPS для имплантолога

После того как врач спланировал позицию имплантатов на компьютере, создаётся хирургический шаблон. Это индивидуальная капа, напечатанная на 3D-принтере по вашей анатомии. В ней — отверстия-направляющие точно в тех местах, где должны стоять имплантаты. Под теми углами, которые рассчитаны в программе.
Врач надевает шаблон на челюсть — и сверло физически не может уйти в сторону. Как поезд по рельсам. Это называется навигационная имплантация, и она исключает человеческий фактор.
⚠️ Важно понимать: шаблон не заменяет мастерство врача. Он страхует от случайных отклонений и делает результат предсказуемым. Хороший хирург с шаблоном — это как снайпер с оптическим прицелом. Может и без него, но зачем рисковать?

Компьютерное моделирование зубов — примерка до операции

Ещё один элемент цифрового протокола — моделирование будущих коронок. То есть врач не просто ставит имплантаты «куда получится». Он сначала виртуально расставляет зубы — как они должны выглядеть и смыкаться. А потом под эти зубы планирует позицию имплантатов.
Это называется «обратное планирование». Сначала результат — потом способ его достижения. Логично? Логично. Но многие до сих пор делают наоборот: сначала ставят имплантаты куда удобно, а потом пытаются приладить к ним коронки. Отсюда — некрасивые углы, проблемы с гигиеной, неправильный прикус.
Компьютерное моделирование экономит время и деньги пациента. Потому что переделывать работу — дорого. А виртуальную примерку можно корректировать бесконечно, пока результат не станет идеальным.

Аппарат Penguin RFA — объективный контроль вместо «мне кажется» 🦷

Допустим, имплантат установлен. Позиция идеальная, шаблон отработал на отлично. Но как понять, что имплантат прижился? Что кость «приняла» его и можно нагружать коронкой?
Раньше врачи полагались на ощущения. Постучал по имплантату — звук глухой? Значит, держится. Покрутил — не шатается? Отлично, можно протезировать.
Это примерно как проверять готовность торта, постучав по духовке. Иногда срабатывает. Иногда — нет.

Что такое ISQ и почему эта цифра важнее ощущений

ISQ — Implant Stability Quotient, коэффициент стабильности имплантата. Шкала от 1 до 99. Чем выше число — тем крепче имплантат сидит в кости.
  • ISQ ниже 55 — имплантат нестабилен, нагружать нельзя
  • ISQ 55-65 — пограничная зона, требуется осторожность
  • ISQ выше 65 — можно протезировать
  • ISQ выше 70 — отличная стабильность
Это объективная цифра. Не «мне кажется, что держится». Не «по моему опыту, всё нормально». Конкретное число, которое можно измерить сегодня, через неделю, через месяц — и сравнить динамику.

Как работает Penguin RFA — простыми словами

Penguin RFA — это прибор для измерения стабильности методом резонансно-частотного анализа. Звучит сложно, но принцип простой.
В имплантат вкручивается специальный магнитный штифт (MulTipeg). Прибор посылает магнитный импульс — штифт начинает вибрировать. Чем крепче имплантат сидит в кости, тем выше частота вибрации. Прибор переводит эту частоту в понятный показатель ISQ.
Измерение занимает секунды. Безболезненно. Бесконтактно — прибор даже не касается штифта. Можно повторять сколько угодно раз на любом этапе лечения.
В нашей клинике мы используем Penguin RFA для контроля каждого имплантата. Это не перестраховка — это стандарт. Потому что пациент имеет право знать, а не верить.

Торк vs ISQ — в чём разница и почему нужны оба показателя

Часто слышу: «Мне сказали, что имплантат поставили с торком 45. Это хорошо?»
Торк — это момент затяжки при установке имплантата. Грубо говоря, с какой силой его вкрутили. Высокий торк (35-45 Нсм) означает, что кость плотная и имплантат сразу хорошо зафиксирован.
Но торк — это показатель МОМЕНТА установки. Он не говорит, что будет через неделю. Или через месяц. Кость вокруг имплантата перестраивается, происходит остеоинтеграция — сращение имплантата с костной тканью. И этот процесс может идти по-разному.
ISQ позволяет отслеживать процесс в динамике. Имплантат может быть установлен с отличным торком, но через две недели ISQ падает — значит, что-то пошло не так. Нужно разбираться, а не ставить коронку.
💡 Правильный подход: измерить ISQ при установке, затем — перед нагрузкой. Если цифры стабильны или растут — всё отлично. Если падают — пауза и диагностика.
Клинический случай: когда «вроде держится» — не аргумент
Пациент, мужчина около 55 лет. Пришёл к нам после неудачного опыта в другой клинике. Там ему поставили имплантат на нижнюю челюсть и через три недели — коронку. Врач сказал: «Всё отлично, имплантат стабильный».
Через два месяца появилась подвижность. Пациент вернулся — ему сказали «подождать, само укрепится». Не укрепилось. Имплантат пришлось удалить.
К нам он пришёл с дефектом кости на месте удалённого имплантата и понятным недоверием к имплантологам в целом.
Что мы сделали: КТ, планирование, установка нового имплантата с хирургическим шаблоном. При установке — торк 40 Нсм, отлично. Но!! Измерение Penguin показало ISQ 48. Это ниже безопасного порога для нагрузки.
Решение: никакой немедленной нагрузки. Ждём. Через 6 недель — повторное измерение: ISQ 61. Лучше, но ещё не идеал. Ещё через месяц — ISQ 72. Вот теперь можно протезировать.
Результат: имплантат стоит уже полтора года, стабильность при последнем контроле — ISQ 74. Пациент жуёт и не думает о том, что там внизу. Как и должно быть.
Если бы мы поставили коронку сразу, ориентируясь только на торк — история могла повториться.

Птеригоидные имплантаты — когда кости «не хватает», но выход есть

Отдельная боль пациентов — атрофия костной ткани. Зубы потеряны давно, кость «рассосалась», и классические имплантаты ставить некуда. Что предлагают в таких случаях?
Стандартный вариант — синус-лифтинг. Это операция, при которой дно гайморовой пазухи приподнимают и под него подсаживают костный материал. Потом ждут 4-8 месяцев, пока кость приживётся. Потом ставят имплантаты. Потом ждут ещё 3-4 месяца. Потом протезируют.
Итого: около года до финального результата. Плюс две операции вместо одной. Плюс риски, связанные с вмешательством в пазуху.
Есть ли альтернатива? Есть.

Почему атрофия кости — не приговор

После потери зубов кость начинает убывать. Это физиология: нет нагрузки — организм «забирает» ненужную ткань. За первый год после удаления теряется до 25% объёма кости. Дальше процесс замедляется, но не останавливается.
Особенно выражена атрофия на верхней челюсти в боковых отделах. Там и так кость тоньше, плюс сверху — гайморова пазуха, которая постепенно «опускается».
Но вот что интересно: не вся кость атрофируется одинаково. Есть участки, которые остаются стабильными всю жизнь.

Крыловидный отросток — «запасной аэродром» для имплантата

За верхней челюстью есть такая штука — крыловидный отросток. Это уже часть черепа, не челюсти. Кость там плотная, крепкая. И главное — она не «тает» со временем, как челюсть без зубов. Потому что зубы там никогда и не росли, ей без разницы, есть они у вас или нет.
Птеригоидные имплантаты устанавливаются под углом — так, чтобы пройти через заднюю часть верхней челюсти и закрепиться в этом отростке. Фиксация получается отличная, даже если собственной кости пациента почти не осталось.
Технически это сложнее, чем классическая имплантация. Нужно точное 3D-планирование (помните про цифровой протокол?), навигационный шаблон, опыт работы с этой зоной. Но результат того стоит: пациент получает несъёмные зубы без костной пластики и без месяцев ожидания.

Синус-лифтинг vs птеригоидная имплантация — сравнение подходов

Параметр
Синус-лифтинг + имплантация
Птеригоидная имплантация
Количество операций
2 (подсадка кости + имплантация)
1
Срок до протезирования
8-12 месяцев
3-4 месяца
Возможность немедленной нагрузки
Редко
Часто
Вмешательство в пазуху
Да
Нет
Требования к оборудованию
Стандартные
Высокие (3D-навигация обязательна)
Стоимость
$
$
Оба метода имеют право на жизнь. Синус-лифтинг — проверенная методика с хорошими долгосрочными результатами. Но если пациент хочет быстрее, если есть противопоказания к вмешательству в пазуху, если атрофия критическая — птеригоидные имплантаты становятся спасением.

Как выбрать имплантолога и не повторить чужих ошибок

Вы прочитали про цифровые протоколы, про Penguin, про птеригоидные имплантаты. Теперь вопрос: как понять, что конкретный врач всё это реально использует, а не просто пишет на сайте?

5 вопросов, которые отсеют «специалистов на глаз»

Перед согласием на операцию задайте врачу эти вопросы:
  1. «Вы делаете КТ перед имплантацией?» Правильный ответ: «Обязательно, без КТ не начинаем». Если «можно и по снимку» — красный флаг.
  2. «Будет ли хирургический шаблон?» Правильный ответ: «Да, изготавливаем по 3D-модели». Или «В вашем случае можно без шаблона, потому что…» — с конкретным объяснением. Просто «не нужен» — подозрительно.
  3. «Как вы проверяете, что имплантат прижился?» Правильный ответ: «Измеряем ISQ прибором Penguin/Osstell». Если «я вижу по опыту» — насторожитесь.
  4. «Сколько таких операций вы сделали?» Вопрос не про хвастовство. Птеригоидная имплантация, например, требует специфического опыта. Если врач делает 2-3 таких случая в год — это мало.
  5. «Что будет, если имплантат не приживётся?» Правильный ответ: конкретный протокол. Гарантийная переустановка, сроки, условия. Если «такого не бывает» — враньё. Бывает. Редко, но бывает у всех.

Гарантия на имплантацию — что она реально покрывает

Гарантия на имплантацию — штука хитрая. Разберём, на что смотреть.
Хорошая гарантия включает:
  • Бесплатную переустановку имплантата при отторжении
  • Чёткие сроки (обычно 5-10 лет на имплантат, 1-2 года на коронку)
  • Условия, которые зависят от пациента (гигиена, посещение контрольных осмотров)
⚠️ Подозрительные формулировки:
  • «Пожизненная гарантия» без уточнений — маркетинг
  • Гарантия «при соблюдении всех рекомендаций» без списка этих рекомендаций — лазейка для отказа
  • Отсутствие письменного документа — устные обещания ничего не стоят
В нашей клинике гарантия оформляется письменно, с указанием условий и обязательств обеих сторон. Это защищает и пациента, и врача.
Клинический случай: тотальная реабилитация без синус-лифтинга
Пациентка, женщина около 62 лет. Полная адентия верхней челюсти — то есть ни одного зуба. Съёмный протез, который «живёт своей жизнью», падает при разговоре, натирает дёсны. Качество жизни — ниже плинтуса.
КТ показало: выраженная атрофия кости в боковых отделах, высота кости до дна пазухи — 3-4 мм. Для классических имплантатов нужно минимум 8-10 мм.
Предыдущий врач предложил: двусторонний синус-лифтинг, ждать 6 месяцев, потом 6-8 имплантатов, ждать ещё 4 месяца. Итого — почти год в съёмном протезе.
Наше решение: 4 классических имплантата во фронтальном отделе (там кости достаточно) + 2 птеригоидных имплантата в области крыловидных отростков. Всё — одна операция. Точное 3D-планирование, навигационные шаблоны, контроль Penguin.
Результаты измерения ISQ при установке:
  • Фронтальные имплантаты: 65-68
  • Птеригоидные: 71-73 (крыловидный отросток — плотная кость!)
Высокие показатели позволили дать немедленную нагрузку — временный несъёмный протез в день операции. Пациентка ушла с зубами.
Через 4 месяца — повторный контроль. ISQ стабилен, конструкция без проблем. Изготовили постоянный протез.
Женщина потом сказала: «Я забыла, каково это — кусать яблоко». По методу Шварцбурда, это и есть главный критерий успеха — когда пациент забывает, что у него имплантаты.

Частые вопросы

А можно поставить имплант без КТ?
Можно ли физически? Ну да, руки-то никто не связывает. Но это как ехать ночью с выключенными фарами — технически едешь, а на практике рискуешь по-крупному. Без снимка врач просто не видит, где у вас проходят нервы, где пазухи, какая там кость — твёрдая или рыхлая. Сэкономите на КТ — потом можете влететь на лечение осложнений, а это уже совсем другие деньги. Короче, если вам где-то предлагают ставить имплант вслепую — разворачивайтесь и уходите.
А если имплант поставили криво?
Тут как повезёт, но варианты все так себе. В лучшем случае — намучаетесь с коронкой, результат будет выглядеть не очень, да и чистить неудобно. В худшем — нагрузка пойдёт неправильно, кость начнёт страдать, имплант со временем расшатается и организм его просто вытолкнет. А если ещё и задели нерв или залезли в пазуху — там свои «радости» добавятся.
А этот ваш Пингвин — им мерить не больно?
Вообще не больно, даже не почувствуете. Он имплант-то не трогает — работает магнитным импульсом, бесконтактно. Пару секунд, и готово. Ни укола не надо, ничего.
Кому подходят птеригоидные имплантаты?
В первую очередь — пациентам с выраженной атрофией кости на верхней челюсти, когда классическая имплантация невозможна без костной пластики. Также тем, кто хочет избежать синус-лифтинга или сократить сроки лечения. Противопоказания общие для имплантации, плюс некоторые особенности анатомии, которые выявляются на КТ. Решение принимается индивидуально после диагностики.
Как понять, что имплантат прижился?
Субъективно — никак. Вы не почувствуете разницы между прижившимся и проблемным имплантатом, пока он не начнёт шататься. Объективно — измерение ISQ прибором Penguin или Osstell. Показатель выше 65 при стабильной или растущей динамике — признак успешной остеоинтеграции. Плюс контрольный рентген для оценки уровня кости вокруг имплантата.

Вместо заключения

Цифровой протокол имплантации, аппарат Penguin, навигационные шаблоны, птеригоидные имплантаты — это не «дорогие игрушки» для понтов. Это инструменты, которые превращают имплантацию из лотереи в предсказуемую процедуру.
Когда врач говорит «я и так вижу» — он не видит. Когда говорит «рука чувствует» — не чувствует. Когда говорит «по опыту» — опыт не заменяет приборы.
Выбирайте тех, кто работает с данными, а не с ощущения
________
Запись на прием и дополнительная информация

По телефону в «Аркада-Мед»: +7 (495) 365-19-29
По телефону в «Эликсир-Дентис»: +7 (495) 366-69-66
Вконтакте Аркада-Мед
Дзен Аркада-Мед
На сайте: arkada-med.ru
Проконсультируйтесь со специалистом.

МЫ В СОЦИАЛЬНЫХ СЕТЯХ

Читайте также:

Новости, статьи, блог
Показать еще