• »
  • »

Как проверить качество композитных виниров: 5 признаков плохой работы, которую нужно переделывать

Как проверить качество композитных виниров?
Поставили виниры, а радости почему-то нет? Десна кровит, нить рвётся, да и выглядит всё как-то... не так? Знакомая история. Ко мне на приём регулярно приходят пациенты с «чужими» работами — и половина из них даже не подозревала, что что-то пошло не так.
Эта статья — ваш личный чек-лист. Пять конкретных признаков, которые можно проверить дома. Без сложных инструментов, без похода к врачу (хотя он потом понадобится). Просто честный разбор: когда волноваться, а когда выдохнуть.

Что такое композитные виниры и почему качество — это лотерея

Прежде чем искать проблемы, давайте разберёмся, с чем имеем дело. Композитный винир — это тонкая накладка на переднюю поверхность зуба, сделанная из специального пломбировочного материала. Врач наносит его слоями прямо у вас во рту, формирует нужную форму и засвечивает лампой. Звучит просто, да?
А вот и нет.

Композитные vs керамические — ключевые отличия

Керамические виниры делают в лаборатории по слепкам. Техник неделю колдует над формой, цветом, прозрачностью. А композитные врач лепит за один приём, как скульптор — только вместо глины у него светоотверждаемый материал, а вместо недели — час-полтора.
Чувствуете разницу? Керамика — это конвейер с контролем качества. Композит — это чистое искусство и руки конкретного доктора.
Параметр
Композитные виниры
Керамические виниры
Срок службы
3-7 лет
10-15 лет
Эстетика
Хорошая (зависит от врача)
Отличная
Цена за единицу
5 000 — 15 000 ₽
25 000 — 60 000 ₽
Время установки
1 визит
2-3 визита
Ремонт
Легко
Сложно
Устойчивость к окрашиванию
Средняя
Высокая

От чего зависит результат

Первое дело — руки врача. Серьёзно, это процентов 80 успеха. Композитная реставрация — это прямая работа, то есть всё делается непосредственно во рту. Нет права на ошибку, нет возможности «переделать в лаборатории».
Второе — материалы. Хороший композит стоит дорого. Некоторые клиники экономят, и это сразу видно: цвет тускнеет за полгода, поверхность становится шершавой.
И третье — протокол. Адгезия (это сцепление материала с зубом) работает только при идеальной сухости. Попала слюна — привет, отслойка через год. Не протравили эмаль — та же история.

Признак №1 — Зубная нить цепляется или рвётся 🦷

Это первый и самый простой тест. Берёте обычную зубную нить и проводите между зубами с винирами. Медленно, аккуратно, без фанатизма.

Как правильно провести тест с флоссом

Флоссинг — это просто модное название чистки зубной нитью. Ничего сложного:
  1. Отмотайте сантиметров 30-40 нити
  2. Намотайте на средние пальцы обеих рук
  3. Натяните между большим и указательным
  4. Введите нить между зубами пилящими движениями
  5. Обогните зуб буквой «С» и проведите вверх-вниз
Что нормально:
  • Нить входит с лёгким сопротивлением
  • Выходит чистой или с небольшим налётом
  • Не застревает и не рвётся
Что подозрительно:
  • Нить цепляется за что-то острое
  • Застревает и не хочет выходить
  • Рвётся в одном и том же месте
  • После извлечения — «распушённая», как метёлка

Почему нить цепляется: нависающий край реставрации

Если нить цепляется — скорее всего, у вас нависающий край. Это когда материал винира выходит за границу зуба и торчит маленьким козырьком над десной. Иногда буквально на полмиллиметра, но этого достаточно.
Контактный пункт — место, где зубы соприкасаются — должен быть гладким и плавным. Как горка в аквапарке, а не как лестница с острыми ступеньками (хотя нет, не совсем так... скорее как отполированный камушек с моря).
Чем опасен нависающий край:
  • Там постоянно скапливается налёт
  • Вычистить его невозможно — нить не достаёт
  • Десна воспаляется хронически
  • Под краем развивается кариес — тот самый вторичный, который не видно снаружи
⚠️ Важно: один раз зацепилась — ещё не диагноз. Проверьте несколько раз в течение недели. Если повторяется стабильно — есть проблема.

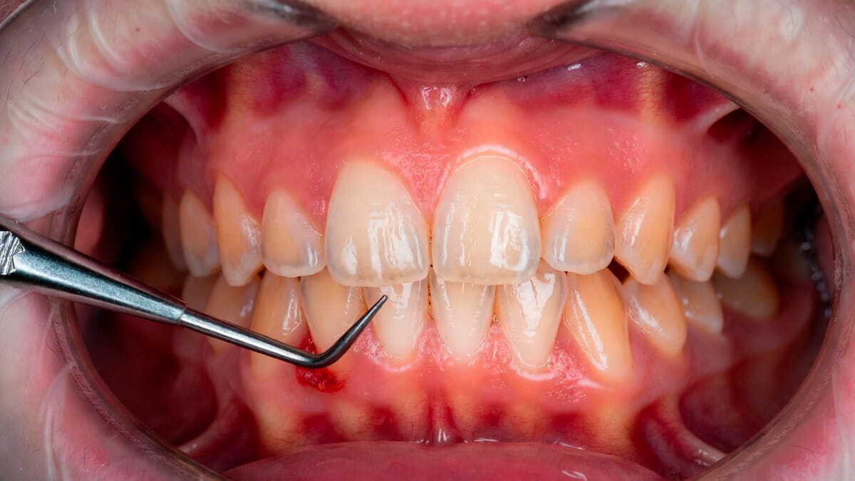
Признак №2 — Кровоточивость и воспаление десны

Кровоточивость и воспаление десны при ношении виниров
Кровь при чистке зубов — это вообще не норма. Никогда. Но после установки виниров пациенты часто думают: «Ну, наверное, так и должно быть, зубы же трогали». Нет, не должно.

Спонтанная кровоточивость vs кровь при чистке

Разделим на два типа:
Кровь при чистке — появляется, когда вы активно работаете щёткой или нитью. Может быть признаком:
  • Слишком агрессивной чистки (маловероятно)
  • Воспаления десны из-за налёта (вероятно)
  • Проблем с реставрацией (очень вероятно)
Спонтанная кровоточивость — кровь появляется сама по себе. Поели яблоко — кровь. Проснулись — привкус крови. Это уже серьёзнее.
Есть простой тест — я называю его «розовая пена». После чистки зубов сплюньте в раковину. Пена должна быть белой. Розовая или красная — сигнал тревоги.

Гипертрофия десны — когда десна «наползает» на винир

Гипертрофия — это разрастание ткани. Десна как будто пухнет и начинает закрывать край винира. Выглядит это так: винир вроде нормальный, но его почти не видно — десна наползла сверху, стала рыхлой, ярко-красной.
Почему это происходит? Хроническое воспаление. Десна постоянно раздражена — или нависающим краем, или шершавой поверхностью, или просто налётом, который некуда девать. В ответ ткань разрастается. Защитная реакция, которая делает только хуже.

Когда воспаление — вина винира, а когда — гигиены

Честный ответ: иногда и то, и другое. Но есть подсказки:
Скорее проблема с виниром, если:
  • Воспаление только возле отреставрированных зубов
  • Соседние зубы без виниров — в порядке
  • Вы нормально чистите зубы, используете нить
  • Проблема появилась сразу после установки или в первые месяцы
Скорее проблема с гигиеной, если:
  • Воспаление везде, не только у виниров
  • Вы честно признаёте, что чистите «как придётся»
  • Давно не были на профессиональной чистке
  • Есть зубной камень
📌 Клинический случай №1
Пациентка, 28 лет. Обратилась через три месяца после установки композитных виниров на шесть передних зубов. Жалоба: «Дёсны кровят каждый день, хотя раньше такого не было».
При осмотре: десна в области виниров отёчная, ярко-красная. При зондировании (это когда врач аккуратно проводит инструментом вдоль края десны) — сразу кровоточивость. На четырёх зубах из шести обнаружены нависающие края реставрации. Нить при введении рвётся.
Что сделали: аккуратно убрали нависающие края, отполировали переходы, провели профессиональную гигиену. Назначили домашний уход с ирригатором.
Результат через две недели: кровоточивость полностью прошла, десна бледно-розовая, плотная. Пациентка довольна. Виниры не переделывали — хватило коррекции.
Вывод: не всегда нужно сразу всё сносить. Иногда достаточно доработки. Но игнорировать кровоточивость нельзя — сама не пройдёт.

Признак №3 — Неприятный запах из-под виниров

Деликатная тема, но важная. Если изо рта появился запах, которого раньше не было — и он явно идёт от передних зубов — это повод насторожиться.

Откуда берётся запах

Два основных варианта:
Зазор между виниром и зубом. Если адгезия нарушена (помните, я говорил про слюну и протокол?), между материалом и эмалью образуется микрощель. Туда попадает слюна, остатки пищи, бактерии. Вычистить это невозможно — доступа нет. Бактерии делают своё дело, появляется запах.
Нависающий край + налёт. Та же история, что с кровоточивостью. Под нависающим краем скапливается налёт. Со временем он минерализуется, превращается в камень. Пахнет соответственно.

Тест на запах: как провести дома

Способ первый — с зубной нитью:
  1. Проведите нитью между зубами с винирами
  2. Понюхайте нить (да, звучит странно, но работает)
  3. Если запах резкий, неприятный — проблема есть
Способ второй — с межзубным ёршиком:
  1. Возьмите самый тонкий ёршик
  2. Аккуратно введите между зубами
  3. Проверьте, что на нём осталось и как пахнет
Способ третий — лизните запястье:
  1. Лизните внутреннюю сторону запястья
  2. Подождите 10 секунд, дайте высохнуть
  3. Понюхайте
Последний способ показывает общий запах изо рта, не конкретно от виниров. Но если раньше всё было в порядке, а после виниринга появился запах — связь очевидна.

Запах = кариес? Не всегда, но часто

Вторичный кариес — это кариес, который развивается на границе пломбы (или винира) и зуба. Он коварный: снаружи всё выглядит прилично, а внутри зуб разрушается.
Признаки вторичного кариеса:
  • Неприятный запах из конкретного межзубного промежутка
  • Изменение цвета зуба (потемнение у края винира)
  • Застревание пищи там, где раньше не застревало
⚠️ Когда срочно к врачу: если запах сопровождается болью, чувствительностью к холодному/горячему, изменением цвета — не тяните. Вторичный кариес лечится, но чем раньше — тем проще.

Признак №4 — «Эффект жвачки»: неестественная толщина и форма

Это то, что видно невооружённым глазом. Когда зубы после виниринга выглядят... ну, как будто на них налепили что-то. Пациенты описывают по-разному: «лошадиные зубы», «как жвачку прилепили», «слишком выпуклые».

Как должен выглядеть хороший винир

Хороший винир — невидимый. Парадокс, да? Вы платите деньги за то, чего не должно быть заметно.
Признаки качественной работы:
  • Зубы выглядят естественно, как свои
  • Плавный переход от винира к десне (никаких ступенек)
  • Нет видимой границы между материалом и зубом
  • Поверхность гладкая, с естественным блеском
  • Форма соответствует анатомии: режущий край не прямой, как линейка, а с лёгкими неровностями
  • Прозрачность у режущего края, более плотный цвет у десны

Визуальные признаки некачественной работы

«Раздутые» зубы. Самая частая жалоба. Врач не сделал препарирование (не сточил немного эмали перед нанесением композита) — и просто добавил материал сверху. Зуб стал толще на 0,5-1 мм. Вроде немного, но губа это чувствует, и в профиль видно.
Видимая граница. Линия перехода между виниром и зубом. Особенно заметно у десны — как будто на зуб надели колпачок.
Неправильный цвет. Слишком белый (унитазная белизна), слишком серый, или просто не совпадает с соседними зубами. Хороший композит имеет несколько оттенков — как настоящий зуб.
Отсутствие микрорельефа. Натуральные зубы не идеально гладкие. У них есть вертикальные бороздки, небольшие неровности. Если винир отполирован «в зеркало» — выглядит искусственно.

Селфи-тест: как оценить виниры на фото

Сделайте несколько фото:
  1. Фронтальное фото с улыбкой — при дневном свете, у окна. Видна ли граница виниров? Одинаковый ли цвет?
  2. Фото в профиль — выступают ли зубы вперёд больше, чем раньше? Как смыкаются губы?
  3. Фото с оттянутой губой — видно ли переход у десны? Нет ли тёмных линий?
Сравните с фото до виниринга (надеюсь, вы их сделали). Если разница бросается в глаза — не в лучшую сторону — есть повод для разговора с врачом.
📌 Клинический случай №2
Мужчина, 35 лет. Пришёл с жалобой на эстетику: «Сделал виниры, а теперь зубы как у коня. Друзья смеются».
История такая: в другой клинике установили композитные виниры на восемь передних зубов. Без препарирования — врач сказал, что «так сохраннее для зубов». По факту — просто налепили материал сверху.
При осмотре: зубы выступают вперёд примерно на 1,5 мм относительно анатомической нормы. Профиль лица изменился. Губы в покое не смыкаются полностью. Окклюзия (смыкание зубов) нарушена — появились суперконтакты на передних зубах.
Что сделали: честно обсудили варианты. Пациент выбрал переделку. Старые виниры аккуратно спилили, провели минимальное препарирование (0,3-0,5 мм), установили новые композитные виниры с правильной анатомией.
Результат: естественная улыбка, губы смыкаются нормально, пациент доволен. Да, это стоило денег и времени. Но альтернатива — ходить с «лошадиными зубами» — его не устраивала.
Вывод: препарирование — не враг!!! Снятие тонкого слоя эмали (меньше миллиметра) позволяет сделать винир нормальной толщины. Без этого результат часто... ну, вы поняли.

Признак №5 — Дискомфорт при смыкании зубов

Этот признак коварнее остальных. Кровоточивость видно, запах чувствуется, толщину можно оценить в зеркале. А вот неправильное смыкание часто маскируется. Организм адаптируется, вы привыкаете — и даже не понимаете, что что-то не так.

Как проверить окклюзию дома

Окклюзия — это то, как верхние и нижние зубы смыкаются друг с другом. После виниринга она должна остаться такой же, как была. Или стать лучше, если изначально были проблемы и врач их учёл.
Тест на ощущения:
  1. Сядьте ровно, расслабьте челюсти
  2. Медленно сомкните зубы — не стискивайте, просто сомкните
  3. Прислушайтесь: все ли зубы касаются одновременно?
  4. Нет ли ощущения, что какой-то зуб «мешает», «выше» других?
Тест со сжиманием:
  1. Сомкните зубы плотно
  2. Попробуйте сдвинуть челюсть влево-вправо (как будто что-то жуёте)
  3. Движения должны быть плавными, без «застревания»
Тест с тонкой бумагой (если есть копирка):
  1. Положите копировальную бумагу между зубами
  2. Сомкните несколько раз
  3. Посмотрите, где остались отпечатки
  4. На винирах не должно быть тёмных жирных точек — это суперконтакты

Почему неправильный прикус после виниров — это серьёзно

Когда один зуб «выше» остальных, на него приходится вся нагрузка при жевании. Это называется суперконтакт. Последствия:
  • Сколы винира. Материал не выдерживает перегрузки и откалывается. Иногда через месяц, иногда через год.
  • Трещины в зубе. Если винир держится крепко, трескается сам зуб под ним.
  • Чувствительность. Зуб постоянно перегружен — реагирует на холодное, горячее, давление.
  • Проблемы с ВНЧС. ВНЧС — это височно-нижнечелюстной сустав, он соединяет челюсть с черепом. При неправильной окклюзии сустав работает криво. Результат: щелчки при открывании рта, боль в области уха, головные боли.

Коррекция прикуса после виниринга

Хорошая новость: не всегда нужно переделывать виниры. Часто достаточно пришлифовки — врач убирает буквально доли миллиметра с поверхности, и окклюзия приходит в норму.
Плохая новость: если виниры сделаны с грубым нарушением окклюзии (например, слишком толстые), пришлифовкой не отделаться. Придётся переделывать.
⚠️ Красные флаги — когда точно к врачу:
  • Зубы не смыкаются там, где смыкались раньше
  • Боль при жевании
  • Щёлканье в области уха
  • Головные боли, которых раньше не было
  • Утомляемость челюстей к вечеру

Алгоритм действий: что делать, если нашли проблемы

Окей, вы проверили все пять пунктов и нашли что-то подозрительное. Что дальше? Вот пошаговый план.
H3: Шаг 1 — Фиксация проблем
Прежде чем идти к врачу — задокументируйте всё:
  • Фотографии. С разных ракурсов, при хорошем освещении. Общий вид, крупный план проблемных зон.
  • Записи. Когда заметили проблему, как она проявляется, есть ли динамика (становится хуже или стабильно).
  • Документы. Договор с клиникой, чеки, гарантийный талон — всё, что есть.
Это не паранойя. Это разумная подготовка к разговору.

Шаг 2 — Визит к своему врачу

Первый шаг — всегда к тому врачу, который делал работу. Даже если вы уверены, что он накосячил.
Почему:
  • Гарантийные обязательства. Большинство клиник дают гарантию на виниры (обычно 1-2 года). В рамках гарантии исправление бесплатно.
  • Возможность коррекции. Иногда проблема решается за 15 минут — убрать нависающий край, подшлифовать окклюзию.
  • Этика. Дайте врачу шанс исправить свою работу.
Как вести разговор:
  • Без агрессии, но конкретно: «Меня беспокоит вот это и вот это»
  • Покажите фотографии, опишите симптомы
  • Спросите: «Это нормально? Если нет — как будем исправлять?»
Если врач отмахивается, говорит «само пройдёт» или «это вы неправильно чистите» — переходите к шагу 3.

Шаг 3 — Независимая консультация

Второе мнение — это нормально. Вы не предаёте своего врача, вы заботитесь о своём здоровье.
Как выбрать клинику для проверки:
  • Не конкурент вашей клиники (чтобы не было предвзятости)
  • Врач с опытом в эстетической реставрации
  • Возможность именно консультации, а не «бесплатного осмотра с последующим лечением»
На консультации попросите:
  • Оценить качество работы объективно
  • Определить, нужна ли переделка или достаточно коррекции
  • Если нужна переделка — какие варианты

Снять виниры: цена вопроса и последствия

Этот вопрос задают все. Сколько стоит снять виниры? Можно ли потом ходить без них?
Стоимость снятия композитных виниров: 1 000 — 3 000 ₽ за зуб. Зависит от клиники, региона, сложности работы.
Можно ли вернуться к своим зубам? Зависит от того, было ли препарирование:
  • Если виниры делали без препарирования (просто нанесли сверху) — да, после снятия зубы останутся как были.
  • Если эмаль сточили — зубы будут выглядеть иначе. Возможно, потребуется либо установка новых виниров, либо другая реставрация.
💡 Совет: перед снятием обсудите с врачом, что будет дальше. Не снимайте «в никуда» — сразу планируйте следующий шаг.

Как избежать проблем: профилактика и уход

Допустим, проверка прошла хорошо. Или проблемы решили, и теперь у вас нормальные виниры. Как сохранить результат?

Правила ухода за композитными винирами

Композит — материал капризный. Он пористее керамики, легче окрашивается и царапается. Но при правильном уходе служит долго.
Ежедневный уход:
  • Чистка зубов 2 раза в день мягкой щёткой
  • Паста без грубых абразивов (никаких «отбеливающих» с углём и содой)
  • Зубная нить или ирригатор — обязательно, каждый день
  • Ополаскиватель — по желанию, без спирта
Чего избегать:
  • Грызть орехи, сухари, лёд — сколы обеспечены
  • Красящие продукты в больших количествах: кофе, красное вино, свёкла, куркума
  • Курение — композит желтеет быстрее, чем свои зубы
  • Отбеливающие пасты — царапают поверхность
Профессиональная гигиена: Раз в 3-4 месяца — визит к гигиенисту. Не раз в полгода, как с обычными зубами, а чаще. Композит нуждается в полировке — иначе поверхность становится шершавой и ещё активнее собирает налёт.

Срок службы композитных виниров: реальные цифры

Честный ответ: 3-7 лет. Разброс большой, потому что зависит от:
  • Качества изначальной работы
  • Вашего ухода
  • Пищевых привычек
  • Наличия бруксизма (скрежетания зубами)
После 3-5 лет композитные виниры обычно нуждаются в полировке или частичной реставрации. После 7-10 лет — чаще всего требуется замена.
Сравните с керамикой: там 10-15 лет без особых проблем. Но и цена в 3-4 раза выше.
Когда планировать замену:
  • Цвет потускнел и не восстанавливается полировкой
  • Появились множественные мелкие сколы
  • Граница винира стала видимой (десна отступила)
  • Изменились ваши пожелания к эстетике

FAQ: Часто задаваемые вопросы

Сколько служат композитные виниры?
В среднем 3-7 лет. При отличном уходе и удаче — до 10. Но после 5 лет будьте готовы к тому, что потребуется как минимум полировка, а возможно — частичная реставрация или замена.
Можно ли снять виниры и ходить без них?
Зависит от препарирования. Если эмаль не сточили — да, зубы останутся прежними. Если сточили — зубы будут выглядеть иначе, скорее всего понадобится какое-то покрытие.
Больно ли снимать композитные виниры?
Нет. Процедура проводится под анестезией, если нужно, но обычно не требуется. Композит просто спиливается бором — это не больнее, чем сверление обычной пломбы. Занимает 15-30 минут на зуб.
Как часто нужно полировать композитные виниры?
Каждые 3-4 месяца в рамках профессиональной гигиены. Полировка возвращает блеск и гладкость поверхности, убирает микроцарапины. Без этого виниры тускнеют и быстрее окрашиваются.
Что лучше — переделать композитные или сразу поставить керамику?
Зависит от бюджета и ожиданий. Если первые виниры разочаровали из-за качества работы, а не из-за материала — можно попробовать композит у другого врача. Если хотите решение «поставил и забыл» на 10+ лет — керамика надёжнее. Но дороже в 3-4 раза.

Заключение: краткий чеклист самопроверки

Итак, пять признаков, которые должны насторожить:
  1. Зубная нить цепляется или рвётся — проверьте межзубные промежутки
  2. Дёсны кровоточат — особенно если только возле виниров
  3. Неприятный запах — из конкретных межзубных промежутков
  4. Неестественная толщина — зубы выглядят «раздутыми»
  5. Дискомфорт при смыкании — что-то мешает, щёлкает, болит
Если хотя бы один пункт вызывает сомнения — сходите к врачу. Не через полгода, не когда «станет хуже» — сейчас. Большинство проблем на раннем этапе решаются легко и недорого.
И главное: хорошие виниры — это не привилегия, это норма. Вы заплатили деньги, потратили время — вы имеете право на качественный результат. Не терпите дискомфорт, не уговаривайте себя, что «так и должно быть». Это не так.
Улыбайтесь с удовольствием 🦷
________
Запись на прием и дополнительная информация

По телефону в «Аркада-Мед»: +7 (495) 365-19-29
По телефону в «Эликсир-Дентис»: +7 (495) 366-69-66
Вконтакте Аркада-Мед
Дзен Аркада-Мед
На сайте: arkada-med.ru
Проконсультируйтесь со специалистом.

МЫ В СОЦИАЛЬНЫХ СЕТЯХ

Читайте также:

Новости, статьи, блог
Показать еще